查看: 9445|回复: 49

[基础研究] 哈佛研究人员发现攻击ALS的新途径

[复制链接]

签到天数: 3326 天

[LV.Master]伴坛终老

2420

主题

1万

帖子

8万

积分

管理员

Rank: 9Rank: 9Rank: 9

积分
85127
发表于 2016-7-16 18:33:10 | 显示全部楼层 |阅读模式
# N7 W: z' j; W7 K8 Z6 i5 H( M
HSCI.png

. Z* c1 u4 l( y$ X- L
       C9ORF72基因在ALS和自身免疫之间存在交叉
6 x& |7 [" O% i: R% _( x5 k/ X# ^
       2016年7月15日——哈佛干细胞研究所(HSCI)和哈佛大学-麻省理工学院Broad研究所(Broad Institute of Harvard and MIT)研究人员发现的证据表明,骨髓移植未来可能为肌萎缩侧索硬化(ALS)患者子集带来益处。
; i( I/ V( r+ V* |, h
       ALS也被称为卢伽雷氏症,会破坏连接大脑和脊髓控制全身肌肉的神经元。随着神经元死亡,患者将逐渐丧失活动、言语、吞咽和呼吸能力。

, b# ^9 n# r! c. m
Science Translational Medicine.png

$ P; C$ m9 I% k6 V
       这项在小鼠模型中进行的研究本周发表于《科学转化医学(Science Translational Medicine)》期刊,表明最常见的ALS相关基因突变不仅涉及神经系统,也在血液和免疫系统中扮演重要角色。
+ s7 {' j2 p0 [7 G
       “我们研究的关键点是确定C9ORF72基因的功能,以及它有助于体内的什么(生化过程)” 该研究领导作者、哈佛大学干细胞与再生生物学系(Harvard’s Department of Stem Cell and Regenerative Biology,HSCRB)教授Kevin Eggan说道。Kevin Eggan教授是HSCI的主要教员,十多年来一直在从事ALS研究(studying ALS)。Eggan表示,理解该基因更好的方式是将其“敲除”或灭活,然后记录(体内)出错或缺失的问题。

1 X1 V0 L. W$ t1 w; ?
Kevin Eggan.png
' y3 G/ T5 p* T  K6 D8 a1 q
       研究人员发现,缺失C9ORF72基因功能性副本的小鼠,脾脏、肝脏和淋巴结会异常增大,患病并死亡。拥有一个功能性副本的小鼠会出现相似但不太严重的变化。

3 C2 M0 ^1 O* _6 O/ e
       “我立即意识到被敲除的小鼠发生了免疫功能紊乱” HSCRB教授Leonard Zon在看到初步数据后说道。

& }+ N3 c; w  O4 K
Leonard Zon.png

; Y4 E& F% g: m$ D
       研究团队预测该基因突变会影响神经元,但关于该基因还会使其他细胞发炎涉及自身免疫autoimmunity)的发现却是“意想不到的”。在Zon和波士顿儿童医院(Boston Children’s Hospital)免疫学家Luigi Notarangelo的协助下,研究团队决定改变方向,进一步探索该基因对免疫系统的影响。
( `3 ~0 z; h( A2 j
Luigi Notarangelo.png

' Q) |0 _' n6 H8 {, z  @7 n! w1 L
       该研究第一作者Aaron Burberry是Eggan实验室的博士后研究员,拥有免疫学背景。Aaron Burberry设计了一个实验,测试通过骨髓移植(bone marrow transplant)提供患病小鼠制造新免疫细胞的能力是否能够带来帮助。
. N, z0 }" Y0 J2 l
       接受骨髓移植手术的基因敲除小鼠(Knockout mice),平均多生存43天,体重更重,血小板数量更多。
9 b# r* o7 B6 w0 `3 L9 l
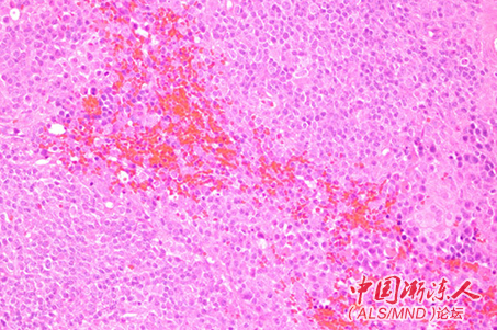
健康脾脏.png
5 ?- @, t0 ], n6 W/ ]2 g2 C6 J/ w  M
健康脾脏显微照片。淋巴组织(紫色)负责启动对血生抗原的免疫反应,而红髓(粉红色)过滤血液。
/ ?5 o' K7 h1 }/ }9 q
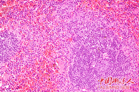
免疫混乱脾脏.png
' {6 w# q' e& i/ D! ]$ S$ j
C9ORF72基因中的突变会使淋巴组织发炎,促使免疫系统功能紊乱。
: k$ I$ K; u& S0 P
       “接受骨髓移植的小鼠看起来变得更好” Eggan说道。尽管他强调,骨髓移植并没能完全拯救这些动物,暗示C9ORF72可能还在其他器官中发挥功能。

: n* m, R: x& u' i
       多年以来,科学家们一直在研究和争论抗炎药物或骨髓移植是否能够为ALS患者提供帮助。“当医生寻找ALS患者中的自身免疫和炎症时,会出现困惑和矛盾的观点”Eggan,“有些人找到了,其他人则没有发现。”

3 H7 k' e7 G) ?
       历史上,临床研究通常在一般ALS人群中进行测试,而没有考虑引发个体病例的各种基因突变。事实上,20个基因里,任何一个基因中超过100种不同的突变都可能促使ALS发生发展。
: T; B$ h: f' A) T$ I' R( Y8 A
       “大多数人拥有各自的致病性突变” Eggan说,这会使疗法开发特别复杂。他认为临床试验需要进行重新设计,从而在特定的ALS亚群中测试骨髓移植的影响。

6 [5 [$ J; M; D. s3 v6 h
' j" b5 S" ^2 f: w6 M
- A7 e& l, o1 _9 u0 H9 h
永远坚强,内心宁静!
回复

使用道具 举报

签到天数: 148 天

[LV.7]常住居民III

31

主题

971

帖子

7188

积分

专科

Rank: 6Rank: 6

积分
7188
发表于 2016-7-16 23:05:45 | 显示全部楼层
么么哒兄弟
回复 支持 反对

使用道具 举报

签到天数: 2348 天

[LV.Master]伴坛终老

1820

主题

1万

帖子

6万

积分

超级版主

Rank: 8Rank: 8

积分
65033
发表于 2016-7-17 05:50:19 | 显示全部楼层
哈佛厉害,帅哥更厉害
- O/ q5 p  P$ @辛苦了
回复 支持 反对

使用道具 举报

签到天数: 822 天

[LV.10]以坛为家III

35

主题

1206

帖子

4841

积分

高中

Rank: 5Rank: 5

积分
4841
发表于 2016-7-17 10:13:33 | 显示全部楼层
兄弟辛苦了
回复 支持 反对

使用道具 举报

签到天数: 924 天

[LV.10]以坛为家III

25

主题

1537

帖子

5215

积分

专科

Rank: 6Rank: 6

积分
5215
发表于 2016-7-17 11:09:37 | 显示全部楼层
尘雾
回复

使用道具 举报

签到天数: 1038 天

[LV.10]以坛为家III

77

主题

5374

帖子

1万

积分

大学

Rank: 7Rank: 7Rank: 7

积分
15321
发表于 2016-7-17 11:19:53 | 显示全部楼层
兄弟
回复

使用道具 举报

签到天数: 918 天

[LV.10]以坛为家III

22

主题

1781

帖子

6048

积分

专科

Rank: 6Rank: 6

积分
6048
发表于 2016-7-17 13:22:22 | 显示全部楼层
回复

使用道具 举报

该用户从未签到

0

主题

34

帖子

440

积分

学前班

Rank: 2

积分
440
发表于 2016-7-17 15:36:43 | 显示全部楼层
亲爱的科学家们,,你们快点再快点!
回复 支持 反对

使用道具 举报

签到天数: 575 天

[LV.9]以坛为家II

10

主题

1029

帖子

3384

积分

高中

Rank: 5Rank: 5

积分
3384
发表于 2016-7-17 18:03:15 | 显示全部楼层
好消息不断,谢谢尘尘。
回复 支持 反对

使用道具 举报

签到天数: 205 天

[LV.7]常住居民III

10

主题

1547

帖子

4078

积分

管理员

Rank: 9Rank: 9Rank: 9

积分
4078
发表于 2016-7-17 19:15:15 | 显示全部楼层
回复

使用道具 举报

您需要登录后才可以回帖 登录 | 立即注册

本版积分规则

Archiver|手机版|小黑屋|中国渐冻人(ALS/MND)论坛

GMT+8, 2025-12-17 15:18 , Processed in 1.646962 second(s), 29 queries .

Powered by Discuz! X3.4 Licensed

© 2001-2013 Comsenz Inc.